Success Stories – Oral Plastic Surgery https://www.oralplasticsurgery.com Periodontics in La Jolla, CA Fri, 06 Feb 2026 14:50:24 +0000 en-US hourly 1 https://wordpress.org/?v=6.9.4 /wp-content/uploads/2025/09/favicon.png Success Stories – Oral Plastic Surgery https://www.oralplasticsurgery.com 32 32 From 10 Years With a Flipper to a Natural Implant Tooth https://www.oralplasticsurgery.com/success-stories/from-10-years-with-a-flipper-to-a-natural-implant-tooth/ Thu, 05 Feb 2026 12:21:48 +0000 https://www.oralplasticsurgery.com/?post_type=success-stories&p=4276 How the Patient Found the Practice

Jennifer, a 27-year-old professional, was ready to stop living with a removable flipper and began her journey by self-referencing an orthodontist.

After years of feeling limited by a temporary tooth, she wanted a permanent solution and specifically wanted an implant.

Her orthodontist, who has worked closely with Dr. Lofthus for over 25 years, referred her to Dr. Lofthus for expert planning and treatment of an anterior implant case.

Initial Condition & Life Before Treatment

Jennifer was congenitally missing a maxillary lateral incisor and had been managing the space with a removable flipper for approximately 10 years. 

Over time, she became increasingly frustrated with the daily inconvenience of removing it, cleaning it, and worrying about how it looked or felt in social situations.

Although she had wanted an implant for years, she had repeatedly been told she “didn’t have enough space yet,” but she was ready to finally move forward and complete her smile with a permanent tooth.

When a tooth fails to develop, the surrounding bone doesn’t develop to its normal thickness either. This presents a significant challenge for implant placement, as adequate bone width is essential for long-term implant stability and esthetic emergence. 

Without sufficient ridge width, the implant cannot be positioned correctly, the surrounding soft tissue won’t drape naturally, and the final result often looks artificial rather than integrated.

First Appointment & Discovery

Jennifer was already in orthodontic treatment. Her orthodontist had created ideal spacing and felt the roots were in the correct position for an implant, and asked Dr. Lofthus to confirm everything from a surgical and bone-volume standpoint.

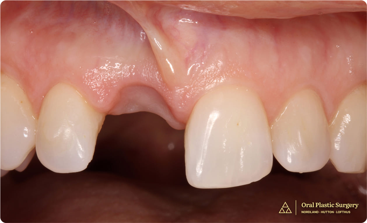
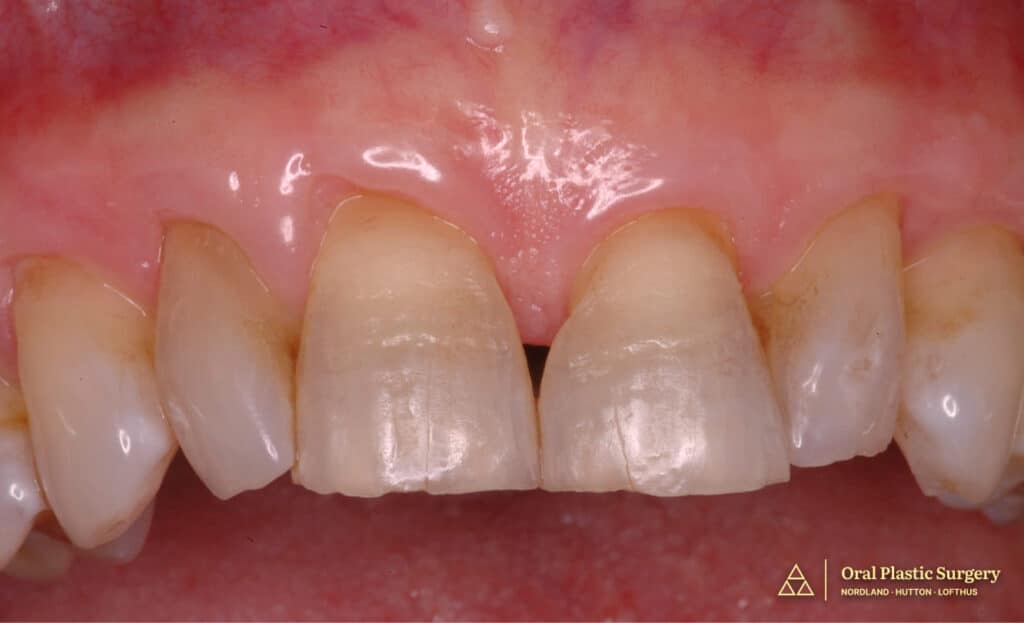
Pre-treatment frontal view showing spacing maintained with a removable prosthesis. The ridge deficiency is evident clinically, confirming CBCT findings of inadequate bone width for implant placement.
Pre-treatment frontal view showing spacing maintained with a removable prosthesis. The ridge deficiency is evident clinically, confirming CBCT findings of inadequate bone width for implant placement.

Dr. Lofthus performed a CBCT scan (3D imaging) to evaluate the ridge anatomy and determine whether implant placement was possible.

The scan revealed a common challenge in congenitally missing-tooth cases. Because the tooth never developed, the jawbone in that area never fully formed to normal thickness. Because the baby tooth had been missing for many years, the ridge had become too narrow and deficient for predictable implant placement.

In other words, the space was ready, but the bone was not.

Cone-beam computed tomography (CBCT) is essential in these cases because it reveals bone width, height, and density in three dimensions, information that cannot be accurately assessed from traditional 2D radiographs. 

This allows the surgeon to measure the exact ridge dimensions and plan the appropriate volume and positioning of bone augmentation needed to support an implant long-term.

Misunderstandings or Clinical Oversights

Jennifer’s case was special for three reasons.

1. It proved that “not enough bone” does not mean “no implant possible.”

Many patients are told that if the ridge is too narrow, an implant is not an option. In reality, modern ridge augmentation techniques can rebuild bone predictably, especially when carefully planned using 3D imaging.

A common misconception is that ridge deficiency automatically disqualifies a patient from implant treatment. The truth is that when performed by an experienced periodontist, ridge augmentation using autogenous bone (the patient’s own bone) offers excellent long-term success rates. 

Autogenous bone grafts integrate more predictably than synthetic materials because they contain living cells and growth factors that promote new bone formation. The mandibular ramus is an ideal donor site. It provides cortical bone that maintains volume well during healing, and the harvest site heals quickly with minimal post-operative discomfort.

2. The entire process happened while she was still in orthodontic treatment

A common misconception is that grafting and implant treatment must wait until braces are removed. In Jennifer’s case, orthodontics and implant planning worked together smoothly, helping maintain ideal tooth position and allowing a temporary tooth to be supported in a stable way during treatment.

Coordinating implant surgery with active orthodontics requires careful timing and communication. 

The advantage of this approach is that the orthodontist can maintain ideal spacing during the graft-healing and implant-integration phases, preventing adjacent teeth from drifting. The braces also provide a stable framework for temporization, allowing the patient to maintain esthetics throughout the entire process without relying on a removable prosthesis during healing.

Active orthodontic treatment establishes ideal spacing and root angulation of adjacent teeth. Coordination between orthodontist and periodontist ensures optimal three-dimensional positioning for future implant placement.
Active orthodontic treatment establishes ideal spacing and root angulation of adjacent teeth. Coordination between orthodontist and periodontist ensures optimal three-dimensional positioning for future implant placement.

3. It was truly interdisciplinary care

This was a coordinated effort between:

  • Her orthodontist (creating ideal spacing and root alignment)
  • Dr. Lofthus (bone reconstruction and implant placement)
  • Her general dentist (final restoration)

This type of collaboration is what makes high-level anterior implant results possible. 

Each specialist contributes their expertise at the appropriate stage, and treatment is sequenced to optimize both function and esthetics. 

Without this coordination, even technically successful implants can result in compromised esthetic outcomes due to poor positioning, inadequate tissue support, or timing issues that allow adjacent teeth to shift.

Treatment Plan & Approach

Dr. Lofthus reviewed Jennifer’s options in detail and explained that the gold standard for rebuilding ridge width in cases like hers is ridge augmentation.

Jennifer chose a predictable and biologically strong approach using her own bone:

Stage 1: Ridge Augmentation with a Mandibular Ramus Block Graft

A bone block was harvested from the mandibular ramus (lower jaw) and transplanted to the missing-tooth site. The graft was secured in place with a fixation screw to ensure stability during healing and integration.

The mandibular ramus bone block technique involves harvesting a precisely sized section of cortical bone from the posterior lower jaw. This cortical bone is denser than the cancellous bone often used in other grafting techniques, which means it maintains its volume better during the remodeling phase. 

The block is contoured to match the deficient ridge anatomy and rigidly fixated with a titanium screw, which prevents micromovement during healing, a critical factor for successful graft incorporation.

The fixation screw serves two purposes: it stabilizes the graft during the initial healing phase, and it acts as a marker for future surgery, making it easier to locate the augmented site when the implant is placed months later.

Healing Phase: Approximately 6 Months

Jennifer healed uneventfully, and the graft matured into a much stronger, wider ridge capable of supporting an implant.

During this healing period, the bone graft undergoes a process called “creeping substitution,” where the patient’s own cells gradually replace the grafted bone with new, living bone tissue. 

This biological integration is why autogenous grafts have superior long-term success compared to synthetic materials. The final result is the patient’s own bone, fully vascularized and capable of supporting an implant indefinitely.

Stage 2: Implant Placement

After healing, the site was re-accessed, the fixation screw was removed, and the implant was placed into an ideal position for long-term stability and esthetics.

Implant positioning in the anterior maxilla requires extreme precision. The implant must be placed not only in the center of the available bone, but also in a position that allows the final crown to emerge naturally from the tissue, match the adjacent tooth contours, and support long-term papillae (the gum tissue between teeth). 

Even a millimeter of deviation can result in visible esthetic compromise.

Following six months of bone block graft integration, the implant was positioned in the augmented ridge with ideal three-dimensional placement for long-term esthetic and functional success.
Following six months of bone block graft integration, the implant was positioned in the augmented ridge with ideal three-dimensional placement for long-term esthetic and functional success.

Implant Integration: Approximately 4 Months

The implant was allowed to fully integrate with the bone before restoration.

Throughout this process, Jennifer remained in braces, which actually helped maintain precise spacing and allowed the orthodontist to support temporization during healing.

Case Progression & Key Milestones

  • Consultation and CBCT planning confirmed an inadequate ridge width
  • Bone block graft placed and fixated with a screw
  • 6-month healing period with excellent graft integration
  • The fixation screw was removed, and the implant was placed in the ideal position
  • The implant healed in approximately 4 months
  • Temporary tooth maintained during orthodontics
  • Final crown delivered by her general dentist in under one year from graft surgery

The total treatment time from ridge augmentation to final crown delivery was approximately 10-11 months. While this may seem lengthy compared to immediate implant placement in ideal bone, this staged approach ensures the biological foundation is solid before loading the implant with a restoration. 

The result is an implant that can function for decades rather than one that may fail prematurely due to inadequate bone support.

Outcome

Jennifer healed beautifully at every stage. The ridge augmentation created the bone volume needed for implant placement, and the implant integrated predictably. There were no complications, and the final result was stable and healthy.

The final implant crown blended naturally with her neighboring teeth. The tooth looked proportionate, symmetrical, and realistic in the smile, with an emergence profile that appeared natural rather than artificial. 

Most importantly, the final result did not look like “an implant.” It looked like her own tooth had always been there.

For Jennifer, the biggest win was freedom. 

After living with a removable flipper for a decade, she finally had a tooth that felt secure, permanent, and effortless. She could smile, talk, and laugh without thinking about whether her temporary tooth was shifting, coming loose, or drawing attention. 

The result restored not only her smile, but also her confidence.

Patient Testimonial

“I wore a flipper for years and always felt like I was waiting for the day I could finally have a real tooth. I’m so happy I did this. The result looks completely natural.”

Final implant restoration demonstrating natural emergence profile, ideal tissue architecture, and symmetric integration with adjacent dentition. The result is indistinguishable from a natural tooth.
Final implant restoration demonstrating natural emergence profile, ideal tissue architecture, and symmetric integration with adjacent dentition. The result is indistinguishable from a natural tooth.

Clinical Notes for Referring Doctors

This case demonstrates the predictability of autogenous bone block grafting from the mandibular ramus for horizontal ridge augmentation in congenitally deficient sites. 

Key success factors included:

  • Thorough 3D diagnostic planning to quantify the exact bone deficit and plan graft dimensions
  • Rigid fixation of the bone block to prevent micromovement during the critical healing phase
  • Adequate healing time (6 months) before implant placement to ensure complete graft maturation
  • Interdisciplinary coordination with orthodontics to maintain ideal spacing and support temporization throughout treatment
  • Precise implant positioning guided by the restored ridge anatomy and esthetic requirements

This approach is ideal for patients with congenitally missing teeth, post-extraction defects, or traumatic ridge loss where synthetic grafting materials alone would be insufficient. The biological superiority of autogenous bone ensures long-term volume maintenance and implant stability.

When to refer similar cases:

  • Horizontal ridge deficiencies measuring less than 5mm width at the implant site
  • Congenitally missing teeth with underdeveloped alveolar ridges
  • Cases where esthetic demands are high (anterior zone)
  • Young patients seeking permanent solutions to replace long-term temporaries
  • Situations requiring coordination with orthodontics or restorative specialists

Dr. Lofthus has over 33 years of experience in complex bone reconstruction and anterior implant surgery. He welcomes referrals for cases requiring ridge augmentation, interdisciplinary treatment planning, and high-level esthetic implant outcomes.

]]>
Eliminating a Gummy Smile in a Single Surgical Procedure https://www.oralplasticsurgery.com/success-stories/eliminating-a-gummy-smile-in-a-single-surgical-procedure/ Fri, 30 Jan 2026 15:21:01 +0000 https://www.oralplasticsurgery.com/?post_type=success-stories&p=4219 How the Patient Found the Practice

The patient was drawn to Dr. Hutton’s oral plastic microsurgical approach after learning about his expertise through consultations and hearing consistent positive feedback from both doctors and patients treated at the practice.

Initial Condition & Life Before Treatment

For most of her life, the patient felt that her smile showed too much gum tissue, creating a “gummy smile” appearance. 

While she liked her natural teeth, their shape, color, and overall character, she wished she could show more tooth structure when smiling and feel more confident in photos and conversation.

Like many patients with this concern, she had difficulty imagining what her smile could look like with the right treatment until she finally explored a surgical solution.

Understanding the Gummy Smile

A “gummy smile” (clinically termed excessive gingival display) occurs when a significant amount of gum tissue is visible above the upper front teeth when smiling. 

While there’s no universal definition of “too much gum,” most patients seeking treatment show 3-4 millimeters or more of gum tissue when smiling naturally.

Several factors can contribute to excessive gingival display:

  • Altered passive eruption: The gum tissue fails to recede naturally as teeth develop, leaving teeth looking short even though they’re actually normal length beneath the gums
  • Vertical maxillary excess: The upper jaw has grown too long vertically, positioning the gum tissue lower relative to the upper lip
  • Hypermobile upper lip: The lip elevates excessively when smiling, revealing more gum tissue than typical
  • Short upper lip: Anatomically short lips may not provide adequate coverage even with normal gum and jaw relationships

Understanding the underlying cause is critical because it determines the appropriate treatment approach. 

In cases where altered passive eruption is the primary factor, as in this patient’s situation, periodontal crown lengthening can create dramatic improvements by revealing the natural tooth structure hidden beneath excess gum tissue.

First Appointment & Discovery

During a calm, unhurried consultation, Dr. Hutton took time to understand exactly what she liked about her smile and what she would like improved.

One of the most exciting moments came when Dr. Hutton used digital smile simulation software to demonstrate how her smile could look after treatment. 

With a simple photo and a few quick adjustments, she could finally visualize a result that still looked like her. Just more balanced, more confident, and more natural.

Excess gum display creating a "gummy smile" appearance. Note the short clinical crown length and disproportionate gum-to-tooth ratio
Excess gum display creating a "gummy smile" appearance. Note the short clinical crown length and disproportionate gum-to-tooth ratio
Short clinical crowns due to excess gingival coverage. Note the disproportionate gum tissue levels
Short clinical crowns due to excess gingival coverage. Note the disproportionate gum tissue levels

The Power of Digital Smile Visualization

One of the most challenging aspects of esthetic periodontal surgery is helping patients envision the outcome. 

Unlike restorative dentistry, where mock-ups and trial smiles can be created with temporary materials, surgical smile design requires patients to commit to treatment before seeing the physical result.

Digital smile design technology bridges this gap. Using specialized software, Dr. Hutton can:

  • Photograph the patient’s current smile
  • Digitally adjust gum tissue contours and tooth display
  • Show multiple treatment options side by side
  • Fine-tune proportions based on facial features and patient preferences
  • Create realistic expectations for post-surgical outcomes

This technology transforms the consultation from an abstract discussion into a collaborative design process. 

Patients can see, before any surgery is performed, whether the proposed changes align with their personal aesthetic goals. This visual confirmation builds confidence and ensures alignment between patient expectations and clinical outcomes.

The Consultation Process

During the comprehensive evaluation, Dr. Hutton assesses:

  • Smile line analysis: How much gum tissue shows when smiling naturally
  • Tooth proportions: The width-to-length ratio of visible tooth structure
  • Gingival architecture: The shape, symmetry, and position of gum tissue around each tooth
  • Biological width: The relationship between gum tissue and underlying bone (critical for long-term stability)
  • Bone levels: Whether excess bone contributes to gum positioning
  • Lip dynamics: How lip movement affects gum display

This thorough assessment ensures the treatment plan addresses the actual cause of excessive gingival display rather than simply removing gum tissue and hoping for the best.

Misunderstandings or Clinical Oversights

Many people assume that improving a gummy smile requires veneers to make teeth look bigger. In this case, veneers were not necessary because the patient already had beautiful natural teeth.

Another misconception is that gummy smile correction can be done with “just a laser.” While laser gum reshaping can help in select situations, long-term stability often requires evaluating the bone level beneath the gums. 

If the underlying architecture isn’t addressed, the gums can rebound toward their original position over time, reducing the aesthetic result.

The Veneer Misconception

Many patients researching gummy smile treatment encounter cosmetic dentistry practices that recommend porcelain veneers as the primary solution. The logic seems straightforward: if teeth look short, make them longer with veneers.

However, this approach has several significant drawbacks:

Preserving Natural Tooth Structure: Veneers require removing a layer of healthy enamel to create space for the porcelain. When teeth are already adequate in shape, size, and color, as in this patient’s case, removing natural tooth structure is unnecessarily aggressive and irreversible.

The Proportion Problem: Simply adding length to short-appearing teeth with veneers doesn’t address the fundamental issue: excess gum tissue coverage. The teeth may look slightly longer, but the gummy smile persists because the gum-to-tooth ratio remains imbalanced.

The “Chiclet” Effect: When veneers are used to compensate for gum excess, teeth can end up looking too long, too square, or artificial, the dreaded “big white chiclet” appearance that patients often complain about after overly aggressive cosmetic treatment.

Long-term Maintenance: Veneers require eventual replacement. Natural teeth, when properly maintained, last a lifetime. Preserving natural tooth structure whenever possible is always the conservative, patient-centered approach.

The “Laser-Only” Myth

The advent of dental lasers created a wave of marketing around minimally invasive gum contouring. 

While lasers have legitimate applications in periodontal surgery, the idea that gummy smile correction can be achieved with “laser gum reshaping alone” oversimplifies the biology.

Here’s what’s often missing from the laser-only narrative:

Biological Width: The gum tissue naturally maintains a consistent relationship with the underlying bone, typically with 2-3 millimeters of space between where the bone ends and where the gum tissue attaches to the tooth. This is called the “biological width,” and it’s a fundamental principle of periodontal anatomy.

The Rebound Problem: If you remove gum tissue without addressing bone levels, the body attempts to re-establish biological width. The gum tissue “rebounds” or “creeps” back coronally (toward the biting edge) over the following months, partially reversing the aesthetic improvement.

Incomplete Treatment: Laser gum contouring addresses soft tissue only. When altered passive eruption involves both excess gum tissue AND excess bone coverage, removing only the gum creates temporary improvement at best.

The Complete Approach: True aesthetic crown lengthening, as Dr. Hutton performs, involves carefully recontouring both soft tissue AND bone levels to create proper biological width while maximizing tooth display. This ensures stable, long-term results that don’t regress.

Treatment Plan & Approach

Dr. Hutton planned a single-visit smile makeover surgery using a microsurgical aesthetic crown lengthening approach designed to:

  • Reveal more natural tooth structure
  • Improve gumline symmetry and proportions
  • Establish a stable long-term gum-to-bone relationship

For patient comfort, the procedure was performed with IV conscious sedation, allowing her to relax fully throughout the experience.

Rather than relying on multiple sutures, Dr. Hutton used liquid suture (tissue adhesive) for gentle re-approximation of the gum tissue, with only one or two small dissolving sutures used as needed.

Improved tooth proportions and stable gingival symmetry after microsurgical crown lengthening, natural tooth structure revealed
Improved tooth proportions and stable gingival symmetry after microsurgical crown lengthening, natural tooth structure revealed

The Microsurgical Crown Lengthening Process

Aesthetic crown lengthening is both an art and a science. It requires surgical precision to reshape bone and tissue, combined with aesthetic judgment to create natural, harmonious proportions that complement the patient’s facial features.

Step 1: Sedation and Anesthesia

The procedure was performed under IV moderate conscious sedation, administered by Dr. Hutton, who holds a California IV Moderate Conscious Sedation Permit. 

This allows patients to remain comfortable and relaxed throughout surgery while still able to respond to verbal cues. Local anesthesia is also used to ensure complete numbness of the surgical area.

Step 2: Precise Tissue Access

Using microsurgical instruments and high-magnification visualization, Dr. Hutton made precise incisions to access the underlying bone without traumatizing surrounding tissues. The microsurgical approach allows for:

  • Smaller incisions than traditional techniques
  • Better visualization of anatomical structures
  • More precise tissue manipulation
  • Reduced post-operative discomfort
  • Faster healing

Step 3: Bone Recontouring

This is the critical step that distinguishes true aesthetic crown lengthening from simple gum reshaping. 

Using specialized burs and hand instruments, Dr. Hutton carefully removed small amounts of bone to create proper biological width, ensuring the gum tissue has adequate space to attach to the tooth without crowding.

The bone is contoured to follow natural tooth anatomy, creating smooth, harmonious transitions between teeth. 

This attention to detail ensures not just tooth exposure, but beautiful gum tissue architecture that frames each tooth naturally.

Step 4: Soft Tissue Refinement

Once bone levels are optimized, the gum tissue is carefully repositioned and contoured to create ideal proportions. Rather than simply removing excess tissue, the gums are sculpted to:

  • Follow the natural contours of each tooth
  • Create symmetrical gum peaks (zenith points) on each tooth
  • Establish proper papillae (the triangular gum tissue between teeth)
  • Frame teeth in a way that looks natural, not “operated on”

Step 5: Tissue Adhesive Closure

One of Dr. Hutton’s techniques for minimizing post-operative discomfort involves using liquid suture (tissue adhesive) rather than traditional sutures wherever possible. The tissue adhesive:

  • Gently re-approximates tissue edges without tension
  • Eliminates suture removal appointments
  • Reduces risk of suture irritation
  • Dissolves naturally as healing progresses

In areas where additional support is needed, one or two small dissolving sutures may be placed; they naturally dissolve within 7-10 days.

Why IV Sedation Makes a Difference

Many periodontal procedures can be performed comfortably with local anesthesia alone. However, for aesthetic crown lengthening involving multiple teeth and extended surgical time, IV conscious sedation offers significant advantages:

  • Anxiety elimination: Patients remain calm and comfortable throughout the procedure
  • Time perception: The surgery feels like it passes quickly
  • Reduced muscle tension: Relaxed patients allow for more precise surgical work
  • Memory suppression: Many patients have little to no memory of the surgical experience
  • Optimal conditions: Both patient and surgeon benefit from a stress-free environment

Dr. Hutton’s extensive training in sedation, developed through 21 years of Navy surgical experience, ensures patient safety and comfort throughout the procedure.

Case Progression & Key Milestones

Procedure Timing

The surgery was completed in approximately 1–2 hours, in a single appointment.

Healing & Recovery

Recovery was smooth and predictable.

  • After around 1 week, the patient was able to begin brushing and flossing normally again
  • By 7–10 days, any small dissolving sutures had naturally released
  • By 4 weeks, healing looked so natural that it was difficult to tell surgery had been performed at all

The Healing Timeline

Understanding what to expect during recovery helps patients prepare mentally and physically for the healing process.

Days 1-3: Initial Healing

Immediately following surgery, patients may experience:

  • Mild swelling (typically minimal with microsurgical techniques)
  • Minor discomfort managed with over-the-counter pain medication
  • Dietary modifications (soft foods recommended)
  • Modified oral hygiene (gentle rinses, avoiding surgical areas with brushing)

Most patients report discomfort is significantly less than anticipated, particularly when compared with other dental procedures they’ve experienced.

Days 4-7: Rapid Improvement

By the end of the first week:

  • Swelling has typically resolved
  • Discomfort is minimal or absent
  • Patients can gradually return to normal brushing and flossing
  • The smile begins to reveal its new proportions, though tissue is still healing

Weeks 2-4: Tissue Maturation

During this phase:

  • Any dissolving sutures release naturally
  • Gum tissue begins to mature and take its final shape
  • Color transitions from surgical pink to normal healthy pink
  • Patients can resume all normal activities without restriction

Months 1-3: Final Refinement

The gum tissue continues to mature and settle into its final position. By three months post-surgery:

  • Tissue contours are stable and natural-looking
  • The gum-to-bone relationship has fully established
  • Results are predictable for long-term maintenance

Long-term Stability

One of the advantages of proper aesthetic crown lengthening, with bone recontouring, is that the results are permanent. 

Unlike laser-only approaches, where tissue can rebound, properly executed crown lengthening creates a stable biological width that the body maintains indefinitely.

Outcome

The outcome was dramatic, yet completely natural.

By removing excess gum tissue and carefully refining the underlying architecture, Dr. Hutton was able to reveal the healthy tooth structure that had been hidden for years. 

The final result created:

  • Cleaner smile proportions
  • A more balanced gumline
  • A brighter, more confident appearance, without changing the teeth themselves

The patient’s smile now looks harmonious and timeless, with a result designed to remain stable long-term.

The biggest change wasn’t just the gumline. It was confidence.

The patient described the result as something she had always wanted but couldn’t fully imagine until she saw it. Now, smiling feels effortless, natural, and exciting, like her smile finally matches who she is.

More natural tooth display and balanced gumline after single-visit smile makeover surgery. Teeth appear properly proportioned without any restorative work
More natural tooth display and balanced gumline after single-visit smile makeover surgery. Teeth appear properly proportioned without any restorative work

Clinical Notes for Referring Doctors

This patient presented with excessive gingival display due to altered passive eruption, a common esthetic concern in which normal-length teeth appear short because of excess gum tissue coverage. 

Treatment involved single-visit microsurgical aesthetic crown lengthening with bone recontouring to establish proper biological width and reveal natural tooth structure.

The procedure was performed under IV conscious sedation for patient comfort. Bone levels were carefully adjusted to create stable gum-to-bone relationships, and soft tissue was contoured using microsurgical techniques to achieve natural, symmetric gingival architecture. 

Tissue adhesive was used for primary closure, minimizing suture-related discomfort and eliminating the need for suture removal.

The four-week follow-up demonstrated excellent healing, with predictable tissue maturation and stable gum positioning. No adjunctive restorative work was required, as the patient’s natural teeth were already well-shaped and well-colored.

When to Refer for Aesthetic Crown Lengthening

Consider referring patients when you observe:

  • Excessive gingival display when smiling (3+ millimeters of gum tissue visible)
  • Short clinical crowns due to altered passive eruption
  • Gingival asymmetry affecting smile aesthetics
  • Patient dissatisfaction with gummy smile appearance
  • Pre-restorative crown lengthening needs (to establish adequate tooth structure for crown margins)
  • Uneven gum levels requiring surgical correction before cosmetic dentistry

The Interdisciplinary Smile Makeover

Aesthetic crown lengthening often serves as the foundation for comprehensive smile makeovers. When performed before restorative treatment, it allows:

  • Optimal crown preparation margins on healthy tooth structure
  • Proper tooth proportions before veneer or crown placement
  • Reduced need for aggressive tooth preparation
  • Better long-term prognosis for restorative work

Many patients, as in this case, discover they don’t need extensive restorative work once the gum tissue is properly positioned. Their natural teeth were beautiful all along, simply hidden by excess tissue.

Dr. Hutton welcomes referrals for aesthetic crown lengthening and is available to discuss treatment planning for patients seeking smile enhancement through periodontal plastic surgery. 

Collaborative treatment planning with restorative colleagues ensures optimal aesthetic outcomes and patient satisfaction.

]]>
Severely Exposed, Demineralized Roots Restored in a Single Microsurgical Visit https://www.oralplasticsurgery.com/success-stories/severely-exposed-demineralized-roots-restored-in-a-single-microsurgical-visit/ Fri, 30 Jan 2026 15:17:17 +0000 https://www.oralplasticsurgery.com/?post_type=success-stories&p=4216 How the Patient Found the Practice

Niko was referred to Dr. Hutton by his general dentist, who had recommended a periodontal evaluation for many years. After more than a decade of monitoring progressive recession, Niko decided it was finally time to address the problem comprehensively.

Initial Condition & Life Before Treatment

Niko had longstanding gum recession with severe root exposure affecting multiple teeth. Over time, the exposed root surfaces began to break down due to the softness of the root structure compared to enamel and constant exposure to the harsh oral environment. 

Brown areas on the exposed roots reflected demineralization of the root dentin, and the surrounding gum tissue became inflamed, irritated, and prone to bleeding.

Maintaining oral hygiene was uncomfortable, and routine hygiene appointments became increasingly difficult. 

Niko also felt self-conscious about his smile. He noticed the brown exposed roots in the mirror and did not feel confident smiling or speaking.

After living with the problem for years, he reached a point where he knew he couldn’t ignore it any longer.

Understanding Root Exposure and Demineralization

When gum tissue recedes, the root surface becomes exposed to the oral environment. Unlike tooth enamel, which is approximately 95% mineral and extremely hard, root surfaces are composed of softer dentin covered by an even thinner layer called cementum. 

This makes exposed roots vulnerable to mechanical wear, chemical erosion from acids, and bacterial activity.

Over time, exposed roots can develop visible brown or yellow discoloration as the dentin demineralizes. Essentially softening and breaking down. 

This process not only compromises the tooth’s structural integrity but also creates rough, porous surfaces that trap bacteria and make hygiene maintenance more difficult. Without intervention, progressive recession can lead to root sensitivity, decay, inflammation, and eventual tooth loss.

First Appointment & Discovery

During the initial visit, Dr. Hutton spent approximately 90 minutes performing a comprehensive periodontal evaluation. 

Each tooth was assessed for recession depth, tissue quality, and the presence of protective gingiva. In the most affected areas, it was clear Niko had little to no attached gingiva. There was primarily movable mucosa, making the recession more vulnerable to future progression.

The evaluation confirmed this recession was not only long-standing but also likely to worsen without treatment. 

Treatment options were reviewed in detail, and Dr. Hutton explained the therapy goals: improving tissue stability, reducing inflammation, protecting exposed root surfaces, and restoring comfort and confidence.

During the initial appointment, a simple digital impression was obtained with the Trios 5 intraoral scanner, and the digital model was sent to the laboratory to fabricate a hard acrylic palatal stent. 

Planning backwards from the day of surgery ensures all necessary items will be ready on the day of surgery for a smooth outcome post-surgery.

The Importance of Keratinized Tissue

Not all gum tissue is created equal. The mouth contains two types of soft tissue: keratinized attached gingiva (the pink, firm tissue tightly bound to underlying bone) and non-keratinized movable mucosa (the loose, darker tissue that moves freely).

Teeth need a band of attached keratinized tissue to resist mechanical forces from chewing, brushing, and normal function. 

When recession leaves teeth surrounded only by movable mucosa, as in Niko’s case, the tissue cannot provide adequate protection, and recession tends to progress over time. 

One of the primary goals of connective tissue grafting is to increase the width of keratinized tissue, creating a more stable, resilient band of gum tissue that can withstand daily oral function and prevent future recession.

Misunderstandings or Clinical Oversights

One common misconception about connective tissue grafting is that only one or two teeth can be treated at a time.

Or that only one side of the mouth (or only upper or lower teeth) can be treated in a single procedure.

In reality, when microsurgical connective tissue grafting techniques are used in conjunction with careful planning and execution, multiple teeth can be treated simultaneously. 

This reduces the number of surgeries required and significantly shortens the total time spent in healing and recovery.

The Microsurgical Advantage

Traditional gum grafting techniques often involve larger incisions, more tissue manipulation, and longer healing times. Microsurgical techniques, performed under high magnification with specialized instruments, allow for:

  • Minimally invasive tunneling: Tissue is carefully undermined without making releasing incisions or disturbing the delicate papillae (gum tissue between teeth)
  • Precise graft placement: The connective tissue can be positioned with millimeter accuracy
  • Reduced post-operative discomfort: Smaller access incisions and less tissue trauma lead to faster, more comfortable healing
  • Predictable outcomes: Studies show microsurgical approaches achieve superior root coverage and tissue integration compared to traditional methods

Dr. Hutton’s background in biomedical engineering and 21 years of Navy surgical training provide the foundation for this level of precision. 

His approach combines engineering principles with microsurgical discipline to deliver outcomes that are both clinically excellent and aesthetically natural.

Treatment Plan & Approach

Because Niko traveled often and rarely had the time to undergo multiple surgical appointments, he elected to complete treatment in a single surgical visit and scheduled the procedure approximately nine months in advance to align with his calendar.

The treatment plan involved connective tissue autotransplantation (connective tissue grafting) using a microsurgical technique under IV conscious sedation.

A hard acrylic palatal stent designed at the initial consultation was delivered to the palate during surgery for post-operative comfort while awaiting early healing.

Teeth treated in the single surgery (November 10, 2025):

  • Tooth #4
  • Tooth #5
  • Tooth #6
  • Tooth #11
  • Tooth #12
  • Tooth #21
  • Tooth #28
  • Tooth #29

Step-by-Step Surgical Process

1. IV Conscious Sedation
The procedure was performed under IV moderate conscious sedation, which allows patients to remain comfortable and relaxed throughout the surgery while maintaining the ability to respond to verbal cues. 

This level of sedation is administered by Dr. Hutton, who holds a California IV Moderate Conscious Sedation Permit, a credential that requires extensive training and ongoing competency verification.

2. Root Surface Preparation
Before grafting, the exposed root surfaces were meticulously refined using customized microchisels. 

This step smooths irregular or demineralized areas and removes softened dentin, creating an ideal surface for tissue attachment. The roots were then chemically cleansed and conditioned with a neutral treatment solution to optimize the biological environment for graft integration.

3. Connective Tissue Harvest
Autogenous connective tissue (the patient’s own tissue) was harvested from the palate using a precision technique that minimizes donor site discomfort. 

Unlike synthetic materials or donor tissue from tissue banks, autogenous grafts provide the best biological integration and long-term stability. The tissue is carefully dissected to obtain optimal thickness and dimension for grafting.

4. Tunneling and Graft Placement
Using a minimally invasive tunnel technique, Dr. Hutton created a subepithelial space beneath the gum tissue without making vertical releasing incisions or disturbing the papillae between teeth. 

The harvested connective tissue was delicately threaded into the tunnel and positioned over the exposed root surfaces. The overlying flap was then advanced coronally (toward the biting edge) to cover both the donor tissue and the root surfaces.

5. Stabilization and Protection
The grafts were secured with precise sutures, and the pre-fabricated hard acrylic palatal stent was placed over the donor site to protect the healing tissue and provide immediate post-operative comfort.

Why Autogenous Tissue?

While several grafting materials exist, including acellular dermal matrix (cadaver tissue), synthetic membranes, and xenografts (tissue from other species), autogenous connective tissue remains the gold standard for root coverage procedures. Here’s why:

  • Superior integration: The patient’s own tissue contains living cells that actively participate in healing and remodeling
  • Vascular supply: Autogenous grafts establish blood supply quickly, ensuring nutrient delivery and waste removal
  • Color match: The tissue naturally matches the surrounding gums in color, texture, and contour
  • Long-term stability: Studies demonstrate autogenous grafts maintain root coverage better over time compared to alternatives
  • Biological attachment: The connective tissue can form true biological attachment to the root surface, not just scar tissue

Case Progression & Key Milestones

  • Consultation: Comprehensive recession evaluation and full treatment discussion
  • Pre-op preparation: Trios 5 digital scan and lab-fabricated hard acrylic palatal stent
  • Surgery: Completed in under 4 hours with IV conscious sedation
  • Root preparation: Exposed roots refined with customized microchisels to smooth and flatten irregular/demineralized areas
  • Root conditioning: Chemical cleansing/neutral treatment to optimize the root surface prior to graft placement
  • Grafting: Autogenous connective tissue harvested from the palate and transplanted to multiple sites
  • Two-week follow-up: Sutures removed; strong integration noted
  • Return to normal activities: Approximately 2–4 weeks
  • Final photos: Taken approximately 6 months later, showing stable, natural-looking tissue

Healing Timeline for Connective Tissue Grafts

Understanding the healing process helps set realistic expectations:

Immediate (Days 1-7): The grafted tissue relies on nutrient diffusion from surrounding tissues. Careful post-operative care is critical during this phase. 

Patients follow modified oral hygiene protocols and avoid mechanical trauma to the surgical sites.

Early Integration (Weeks 2-4): New blood vessels begin growing into the graft (a process called revascularization). By the two-week mark, the graft has typically integrated enough for suture removal. 

Patients can gradually return to normal activities while continuing to protect the healing areas.

Maturation (Months 1-6): The grafted tissue continues to mature, remodel, and blend with surrounding tissues. The final color match and tissue contour become apparent during this phase. 

Some minor regression may occur as the tissue settles, but well-executed grafts maintain significant root coverage.

Long-term Stability (6+ months): Once fully healed, properly grafted sites resist further recession and require no special maintenance beyond routine oral hygiene and professional cleanings.

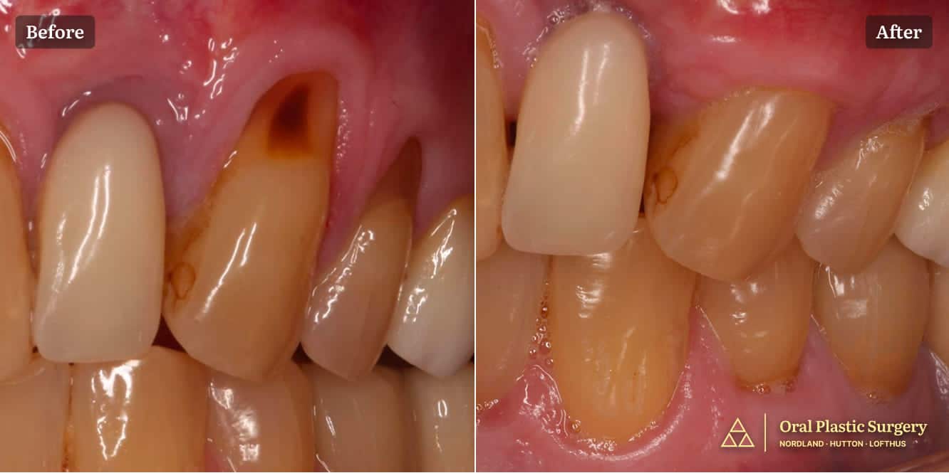
The before image shows recession affecting multiple teeth in the left quadrant, with visible root exposure The after image shows post-operative outcome demonstrating successful root coverage and increased width of keratinized tissue
The before image shows recession affecting multiple teeth in the left quadrant, with visible root exposure The after image shows post-operative outcome demonstrating successful root coverage and increased width of keratinized tissue

Outcome

Post-operative healing was smooth and predictable. Follow-up visits showed strong integration of the transplanted connective tissue, minimal to no regression, and a significant improvement in the stability and health of the treated sites. 

The previously inflamed, irritated tissues became healthy and easier to maintain, and hygiene visits became far more comfortable. 

The patient’s own natural connective tissue, which was transplanted from the roof of the mouth, is biologically attached to the roots.

The improvement in root coverage appearance was dramatic. The grafted areas look natural and blend seamlessly with surrounding tissues. 

The brown, demineralized root surfaces that were previously visible are no longer the focus of the smile, and the overall gumline appears healthier and more balanced.

What stood out most to Niko was how easy the process felt from start to finish. After healing, he reported feeling fully restored and most impressed by the change in his smile. He felt confident enough to smile again and even noted that he now enjoys seeing his hygienist, something that had previously become uncomfortable and stressful.

He couldn’t believe the difference between his before and after photos, and he described the final outcome as so natural that no one would ever know treatment had been performed.

Clinical Notes for Referring Doctors

Niko presented with severe gingival recession and demineralized, exposed root dentin affecting multiple sites, with minimal attached gingiva and mucosa-dominant tissue in the most involved areas. 

A single-session microsurgical approach was planned to reduce the total number of surgical visits and recovery time. 

Treatment was completed under IV conscious sedation with autogenous connective tissue harvested from the palate, meticulous mechanical root refinement (microchisels), root conditioning, and multi-site graft stabilization. 

The surgical approach involved a minimally invasive tunnel technique without incision lines or raising of the papillae between the teeth. The harvested connective tissue was delicately threaded into the tunnel, and the flap was advanced to cover the donor tissue and root surfaces. 

Six-month follow-up images demonstrate stable tissue integration, increased keratinized gingiva, and improved root coverage appearance.

When to Refer for Connective Tissue Grafting

Consider referring patients when you observe:

  • Progressive recession despite conservative management
  • Exposed root surfaces with dentin sensitivity or demineralization
  • Inadequate keratinized tissue width (less than 2mm)
  • Pre-restorative needs (optimal tissue architecture before crown or veneer placement)
  • Patient concerns about aesthetics or receding gumlines
  • Recession approaching the mucogingival junction
  • Multiple sites requiring treatment (candidates for single-surgery approach)

Dr. Hutton welcomes referrals for complex root coverage cases and is available to discuss treatment planning for patients who may benefit from microsurgical periodontal plastic surgery.

]]>
Undoing Years of Damage and Wear https://www.oralplasticsurgery.com/success-stories/undoing-years-of-damage-and-wear/ Mon, 12 Jan 2026 13:20:03 +0000 https://www.oralplasticsurgery.com/?post_type=success-stories&p=4171 How the Patient Found the Practice

Patient RW was referred by her general dentist for evaluation and management of advanced gingival recession prior to planned restorative treatment.

Initial Condition & Life Before Treatment

At the time of presentation, RW was in her early 60s and expressed significant concern and embarrassment regarding the appearance of her smile.

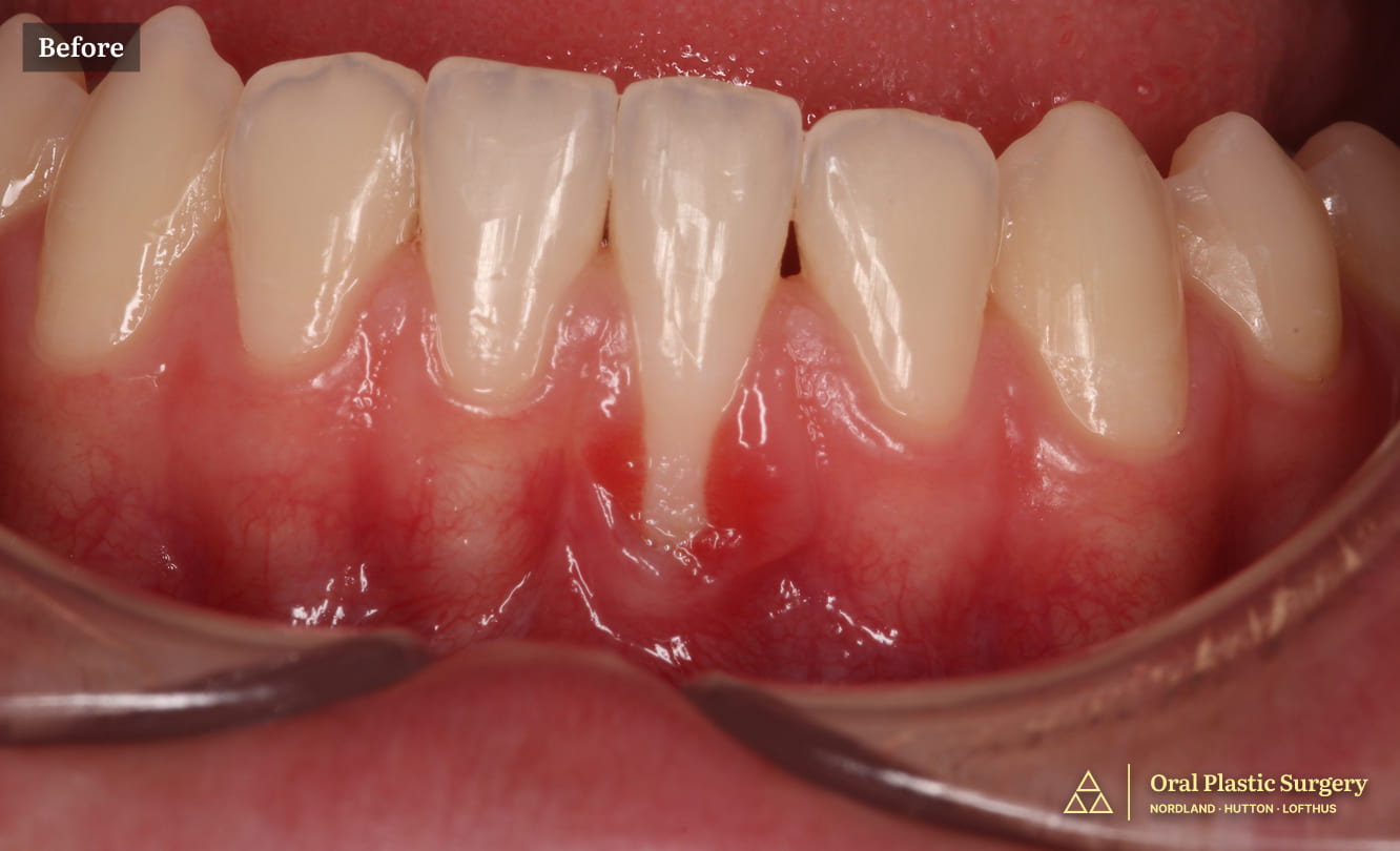
Clinical examination revealed gingival recession with exposed, worn, and discolored root surfaces, most notably on the upper and lower anterior teeth. 

The maxillary anterior teeth were additionally compromised by chipping, cracks, and discoloration. These changes were consistent with years of cumulative wear and periodontal tissue loss.

The exposed root surfaces not only affected the appearance of her smile but also made it impossible to achieve an optimal esthetic result with restorative work alone. 

Without proper soft tissue coverage, even expertly crafted veneers would fail to achieve a natural, seamless appearance.

Initial presentation showing exposed, worn, and discolored root surfaces with chipping and discoloration of maxillary anterior teeth.
Initial presentation showing exposed, worn, and discolored root surfaces with chipping and discoloration of maxillary anterior teeth.

First Appointment & Discovery

During the initial consultation, treatment options were discussed in detail. 

Dr. Lofthus explained that significant aesthetic improvement could be achieved by first rebuilding a healthy periodontal foundation through connective tissue grafting.

An aesthetic mock-up was created to demonstrate the potential outcome following periodontal and restorative therapy. This visual preview helped RW understand the comprehensive approach needed to achieve her desired results.

Misunderstandings or Clinical Oversights

A common misconception in cosmetic dentistry is that veneers alone can solve all esthetic concerns. 

However, when gum recession and exposed roots are present, placing veneers without first addressing the soft-tissue foundation can lead to compromised results.

Veneers cannot effectively cover root surfaces, and attempting to do so often results in visible dark lines at the gumline, poor tissue integration, and an artificial appearance. 

By addressing the periodontal health and esthetics first, the final restorative work can achieve truly seamless, natural results.

Additionally, allowing adequate healing time for soft tissue maturation before proceeding with final restorations ensures optimal stability and long-term success, a critical step that cannot be rushed.

Treatment Plan & Approach

The comprehensive treatment plan consisted of:

Connective Tissue Grafting: Soft tissue grafting was performed around eight maxillary anterior teeth and eight mandibular anterior teeth. 

The objectives were to improve root coverage, increase tissue thickness, and enhance gingival symmetry and color.

Healing Phase: Adequate healing time was allowed to ensure full maturation and stability of the soft tissues prior to proceeding with final restorations.

Final Restorative Work: Once the periodontal foundation was established, carefully planned crowns and veneers were placed to achieve a harmonious and rejuvenated smile.

The entire case was completed over approximately four months, ensuring each phase received proper attention and time to heal.

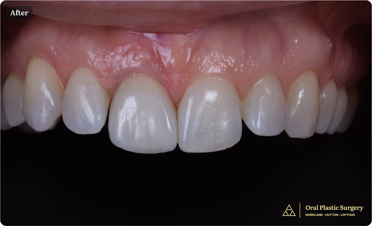
Post connective tissue grafting showing dramatic improvement in root coverage, tissue color, and gingival contour prior to final restorative work.
Post connective tissue grafting showing dramatic improvement in root coverage, tissue color, and gingival contour prior to final restorative work.

Case Progression & Key Milestones

Periodontal Grafting: Connective tissue grafting was performed on 16 anterior teeth (8 maxillary, 8 mandibular) to address extensive recession and create an ideal foundation.

Soft Tissue Maturation: The grafted tissue was allowed adequate time to heal, integrate, and mature before restorative work began.

Dramatic Intermediate Improvement: The gingival grafting alone resulted in a dramatic improvement in smile aesthetics by reducing root exposure and improving tissue color and contour.

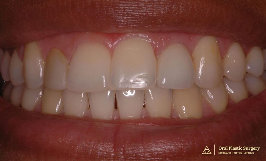
Final Restoration: With the periodontal foundation optimally prepared, crowns and veneers were placed, resulting in a harmonious and rejuvenated smile.

Final post-treatment results demonstrating seamless integration of restored gums and custom restorations following four-month comprehensive treatment.
Final post-treatment results demonstrating seamless integration of restored gums and custom restorations following four-month comprehensive treatment.

Outcome

Connective tissue grafting successfully achieved significant root coverage across all 16 anterior teeth, with improved tissue thickness, color, and symmetry. 

The grafted tissue matured beautifully, providing the ideal foundation for restorative work.

Final aesthetic refinement was achieved with carefully planned crowns and veneers. The comprehensive approach, addressing periodontal health first, then restorative esthetics, delivered exceptional results.

RW was extremely pleased with the final outcome and reported renewed confidence in her smile. Her only regret was not pursuing treatment earlier.

Clinical Notes for Referring Doctors

This case demonstrates the critical importance of addressing advanced gingival recession prior to definitive cosmetic restorations. 

Connective tissue grafting to sixteen anterior teeth provided significant root coverage, improved tissue thickness, and established ideal gingival architecture.

The grafting alone produced dramatic aesthetic improvement before restorative work began. Allowing adequate soft-tissue maturation ensured optimal integration and stability for final crown and veneer placement.

The collaboration between periodontal and restorative teams, combined with proper treatment sequencing, resulted in predictable outcomes with excellent long-term esthetics and high patient satisfaction. 

Dr. Lofthus welcomes referrals for complex cases requiring extensive soft tissue augmentation in the esthetic zone.

]]>
Restoring Health, Comfort, and Aesthetics by Eliminating Diseased Teeth https://www.oralplasticsurgery.com/success-stories/restoring-health-comfort-and-aesthetics-by-eliminating-diseased-teeth/ Thu, 04 Sep 2025 11:59:32 +0000 https://www.oralplasticsurgery.com/?post_type=success-stories&p=3620 How the Patient Found the Practice

Phil discovered our practice through his church community.

He had witnessed transformations in others and was encouraged by the Inspire Changes Foundation, as well as Dr. Hutton and Dr. Gable’s collaborative, digital approach to achieving aesthetic outcomes.

Initial Condition & Life Before Treatment

Phil had battled advanced periodontal disease and failing teeth for years.

His smile was unsightly, his teeth were loose, and chewing most foods was nearly impossible.

Chronic infections and pain were a constant burden.

As a national public advocate and speaker, Phil felt ashamed of his smile and knew he was living on borrowed time with his failing teeth.

Several dentists told him he would need years of multiple surgeries if he wanted a chance to restore his smile, a path he felt was overwhelming and unrealistic.

A full smile transformation- loose, painful teeth were removed and replaced with a stable, implant-supported restoration
A full smile transformation: loose, painful teeth were removed and replaced with a stable, implant-supported restoration.

First Appointment & Discovery

During his consultation, Dr. Hutton clearly explained the causes and progression of periodontal disease, outlining all available treatment options.

He presented the risks and benefits of trying to save teeth one by one versus choosing a more definitive solution: the All-on-X approach with pterygoid implants.

Phil left his appointment feeling reassured by the clarity of the explanation and confident that a path to restoring his smile and lifestyle was within reach.

Misunderstandings or Clinical Oversights

A frequent oversight in cases like Phil’s is assuming implants can be placed safely while periodontal infection remains active.

Untreated periodontal disease is the number one risk factor for peri-implantitis, with patients facing up to a 40% higher risk of implant complications.

By addressing the disease first and carefully planning treatment, these risks were avoided.

Treatment Plan & Approach

The plan included:

  • Digital Planning: Intraoral scanning, CBCT imaging, and comprehensive digital workflow.
Digital planning technology mapped out the precise placement of Phil’s seven implants, including two pterygoid implants for added stability
Digital planning technology mapped out the precise placement of Phil’s seven implants, including two pterygoid implants for added stability.
  • Team Collaboration: Partnership with Cyber Ceramics Laboratory (Orange County), nationally recognized for All-on-X prosthetics.
  • Surgical Execution: Placement of seven implants, including two pterygoid implants in the posterior maxilla (base of the skull). This enabled full restoration of all 14 upper teeth, including molars.

This approach minimized cantilevers (overhangs), improved durability, and delivered the long-term stability and function Phil needed.

Case Progression & Key Milestones

Surgery Day: Diseased teeth were removed, bone was prepared, and seven implants were placed. Phil left the office the same day with a full provisional restoration and a confident new smile.

Before surgery- advanced periodontal disease and bone loss made saving the teeth impossible. Full-arch implant treatment was the best long-term solution
Before surgery: advanced periodontal disease and bone loss made saving the teeth impossible. Full-arch implant treatment was the best long-term solution.
Post-surgery X-ray shows all seven implants in place. The pterygoid implants provide secure anchorage in the upper jaw, allowing Phil to regain molars and full chewing strength
Post-surgery X-ray shows all seven implants in place. The pterygoid implants provide secure anchorage in the upper jaw, allowing Phil to regain molars and full chewing strength.
The GuidedSMILE system ensured accuracy and efficiency during surgery. Custom guides and provisional teeth allowed Phil to leave with a new smile the very same day
The GuidedSMILE system ensured accuracy and efficiency during surgery. Custom guides and provisional teeth allowed Phil to leave with a new smile the very same day.

Recovery: Healing was smooth with minimal discomfort. He followed a modified diet for several weeks before resuming his everyday chewing habits.

Impressively, he returned to work the following week.

Final Prosthesis: After tissue healing, Cyber Ceramics fabricated natural-looking zirconia-porcelain teeth. They seated seamlessly and fit perfectly from the first day.

Phil’s new smile foundation- a custom-designed full arch prosthesis and underside with titanium framework, engineered for comfort, strength, and lasting peace of mind
Phil’s new smile foundation: a custom-designed full arch prosthesis  and underside with titanium framework, engineered for comfort, strength, and lasting peace of mind.
Surgical view- seven implants, including two pterygoid implants, were placed for maximum stability and function. Precise implant placement improved chewing strength and long-term durability
Surgical view: seven implants, including two pterygoid implants, were placed for maximum stability and function. Precise implant placement improved chewing strength and long-term durability.

Outcome

All seven implants, including the two pterygoids, achieved excellent stability. The full-arch restoration restored complete function with uneventful healing.

The zirconia-porcelain teeth displayed lifelike translucency and esthetics indistinguishable from natural dentition.

Phil regained complete confidence. He now speaks freely, smiles without hesitation, eats without restriction, and even returned to jiu-jitsu (with a protective mouth guard).

“I love my implants.” — Phil

Restore comfort, function, and confidence. Discover what’s possible with skilled, compassionate care.

Showing perfect diction just a minute after the new teeth were placed—no adjustments needed, a true testament to the precision of restorative and cyberceramics.
Restoring Health, Comfort, and Aesthetics by Eliminating Diseased Teeth Before After 4 Pictures
Restoring Health, Comfort, and Aesthetics by Eliminating Diseased Teeth Smiling Face

Clinical Notes for Referring Doctors

This case highlights the successful use of All-on-X with pterygoid implants for advanced periodontal disease and non-restorable dentition.

Immediate implant placement and provisionalization provided full function the same day.

The use of pterygoid implants allowed inclusion of molars in the final prosthesis, minimizing cantilevers and improving biomechanics.

Healing was uneventful, and final zirconia prosthetics provided excellent esthetic and functional results.


]]>
Perfect Speech Immediately After All-on-X Restoration adult
From Painful Sensitivity to a Healthy, Confident Smile https://www.oralplasticsurgery.com/success-stories/from-painful-sensitivity-to-a-healthy-confident-smile/ Thu, 04 Sep 2025 10:51:00 +0000 https://www.oralplasticsurgery.com/?post_type=success-stories&p=3454 How the Patient Found the Practice

Ashley was referred to our office by her pediatric dentist, who wanted her to get relief from the gum sensitivity and irritation she had been experiencing.

Initial Condition & Life Before Treatment

Before coming to us, Ashley had completed orthodontic treatment to straighten her teeth. She already had some gum recession before braces, but the problem worsened afterwards. As a result of exposed tooth roots, she struggled with severe sensitivity in her lower front tooth.

Even daily brushing was uncomfortable, and dental cleanings became difficult. Due to the pain, plaque accumulated more easily, resulting in gum irritation and gingivitis.

First Appointment & Discovery

At her first visit, we observed that the gum tissue around her lower front tooth was thin and receded, exposing the root.

We also identified a tight frenum (the small muscle attaching the lower lip to the jawbone), which was pulling on the delicate gum tissue and contributing to the gum recession.

Misunderstandings or Clinical Oversights

In some orthodontic cases, gum recession and frenum tension are addressed before braces to minimize risk and prevent worsening during treatment.

While this proactive approach can be ideal, in Ashley’s situation, the decision was made to wait until orthodontic treatment was complete before proceeding with soft tissue repair.

Treatment Plan & Approach

We recommended a two-step plan:

  1. Laser Frenectomy – a quick laser procedure released the tight frenum.
  2. Microsurgical Gum Graft – after a short healing period, a delicate gum tissue transplant was performed using tissue from the roof of the mouth.

Both procedures were completed under IV conscious sedation for Ashley’s comfort, with the precision of a surgical microscope and microsurgical technique.

A customized palatal stent was created using a 3D scanner and printer to protect the donor site and provide comfort during the healing process.

Ashley also made minor modifications to her daily routine to ensure the graft would heal successfully.

Dr. Hutton performing minimally invasive microsurgery under high magnification to ensure precision and patient comfort
Dr. Hutton performing minimally invasive microsurgery under high magnification to ensure precision and patient comfort.

Case Progression & Key Milestones

  1. The laser procedure was performed first and healed quickly.
  2. A few weeks later, the gum graft was placed on the sensitive tooth.
  3. Healing was smooth and comfortable, with Ashley experiencing only minimal discomfort.

Outcome

Ashley now has complete gum coverage on the exposed root of her lower front tooth. The grafted tissue is firmly attached, providing long-term protection and eliminating sensitivity.

Her gumline looks natural and blends seamlessly with the rest of her smile. There are no visible scars, and nobody can tell she ever had surgery.

Ashley is thrilled with her results. She shared that the entire process was far easier than she had expected and that she was grateful for how comfortable it was.

Her daily activities and routines were barely interrupted, and she now brushes and cleans her teeth without discomfort.

“It was better than I expected! I had almost no discomfort and was surprised at how easy it was.” — Ashley

Relief from painful sensitivity is closer than you think. Don’t let gum recession hold you back.

From Painful Sensitivity to a Healthy, Confident Smile Before
Before treatment: Gum recession left the root exposed, causing painful sensitivity and irritation.
From Painful Sensitivity to a Healthy, Confident Smile After
After microsurgical grafting: Healthy gum tissue now covers the root, restoring protection and comfort.

Clinical Notes for Referring Doctors

A laser frenectomy was performed before grafting to address the high frenum attachment.

A connective tissue graft was then placed on tooth #24, achieving complete root coverage and resolving the patient’s sensitivity.

Healing was uneventful, with excellent functional and esthetic outcomes.

]]>
Restoring a Fractured Tooth with a Natural, Seamless Implant https://www.oralplasticsurgery.com/success-stories/restoring-a-fractured-tooth-with-a-natural-seamless-implant/ Tue, 12 Aug 2025 17:13:00 +0000 https://www.oralplasticsurgery.com/?post_type=success-stories&p=2713 How the Patient Found the Practice

Marianne was referred by a long-time patient and friend who had been receiving care at the practice for several years.

With trust already established through that connection, Marianne arrived with hope—and a broken front tooth.

Initial Condition & Life Before Treatment

Tooth #8 had a long history.

Years earlier, trauma led to a root canal. Over time, the tooth had discolored, though it remained functional.

Seeking to improve her smile, Marianne had internal whitening performed by an endodontist. However, just three months after that procedure, the tooth’s crown fractured spontaneously.

This sudden break left Marianne in both a physically and emotionally difficult position.

Her central front tooth—a focal point of her smile—was deemed non-restorable, and the idea of a visible prosthetic or complex replacement filled her with concern.

First Appointment & Discovery

At her first appointment, a thorough clinical exam and X-rays revealed there wasn’t enough remaining structure to support a lasting restoration.

The verdict was clear: the tooth could not be saved.

A follow-up with her restorative dentist confirmed that the best course of action was to extract the tooth and move toward implant replacement.

Showing a large filling and minimal natural structure, making the tooth non-restorable
Showing a large filling and minimal natural structure, making the tooth non-restorable.

Why This Case Required Advanced Expertise

This wasn’t just about replacing a tooth—it was about restoring harmony, function, and esthetics in one of the most visible areas of the smile.

The patient also had specific requests: she did not want donor-derived (allograft) or animal-based (xenograft) materials used.

Instead, the team would need to rely entirely on her own tissue to rebuild the site and support an implant. This, combined with the need for esthetic excellence, required careful digital planning, precision surgery, and interdisciplinary collaboration.

Treatment Plan & Approach

To begin, a 3D X-ray was taken to digitally map the site and guide the surgical plan. The fractured tooth was gently extracted, and an implant was placed immediately.

A free gingival graft was also performed at the time of extraction.

In place of donor or animal grafts, the patient’s own bone—harvested from a nearby tori—was used to support the implant.

A small blood sample was drawn and processed into a healing membrane called Leukocyte- and Platelet-Rich Fibrin (L-PRF), which was applied to enhance recovery.

To ensure esthetics during healing, an Essix retainer with a temporary tooth was provided, allowing Marianne to maintain a natural-looking smile throughout her Invisalign treatment.

The ovate pontic on the Essix retainer helped shape the gum tissue, creating a natural-looking emergence profile
The ovate pontic on the Essix retainer helped shape the gum tissue, creating a natural-looking emergence profile.
The implant was uncovered, a healing abutment was placed, and a ridge augmentation was performed to improve the gingiva contour
The implant was uncovered, a healing abutment was placed, and a ridge augmentation was performed to improve the gingiva contour.

Case Progression & Key Milestones

Later in the healing process, a ridge augmentation was performed at the time of implant uncovering to refine the soft tissue contours and improve the emergence profile.

The coordination between surgical and restorative teams ensured that each phase built seamlessly on the last, culminating in a result that was both functional and beautiful.

Outcome

Thanks to Dr. Hutton’s expertise, the implant achieved excellent stability and integration, with no complications.

Healing was smooth, and the use of autogenous tissue supported robust soft tissue health.

Because of the careful implant placement and ridge augmentation, the final crown mimicked the natural tooth in both shape and gum contour. The gumline emerged naturally around the new tooth, blending flawlessly with adjacent teeth.

Marianne expressed deep satisfaction with the outcome.

The use of her own tissue and a treatment process grounded in trust, collaboration, and precision helped restore not just her tooth but also her confidence and peace of mind.

Trust your smile to specialists who put patients first, with minimally invasive solutions designed to last.

Tooth #8 shows a visible fracture, indicating structural compromise and the need for further evaluation and treatment
Tooth #8 shows a visible fracture, indicating structural compromise and the need for further evaluation and treatment
Showing the completed restoration with a natural and seamless appearance
Showing the completed restoration with a natural and seamless appearance

Clinical Notes for Referring Doctors

This case demonstrates the successful management of a fractured, non-restorable maxillary central incisor using immediate implant placement, autogenous bone harvesting, and soft tissue augmentation with L-PRF membranes.

No allografts or xenografts were used, as per the patient’s request. A second-stage ridge augmentation enhanced soft tissue contour and esthetics.

Coordination between the surgical and restorative teams ensured ideal outcomes. Dr. Hutton welcomes referrals for esthetic zone cases requiring biologically conservative and technically demanding implant reconstruction.

]]>
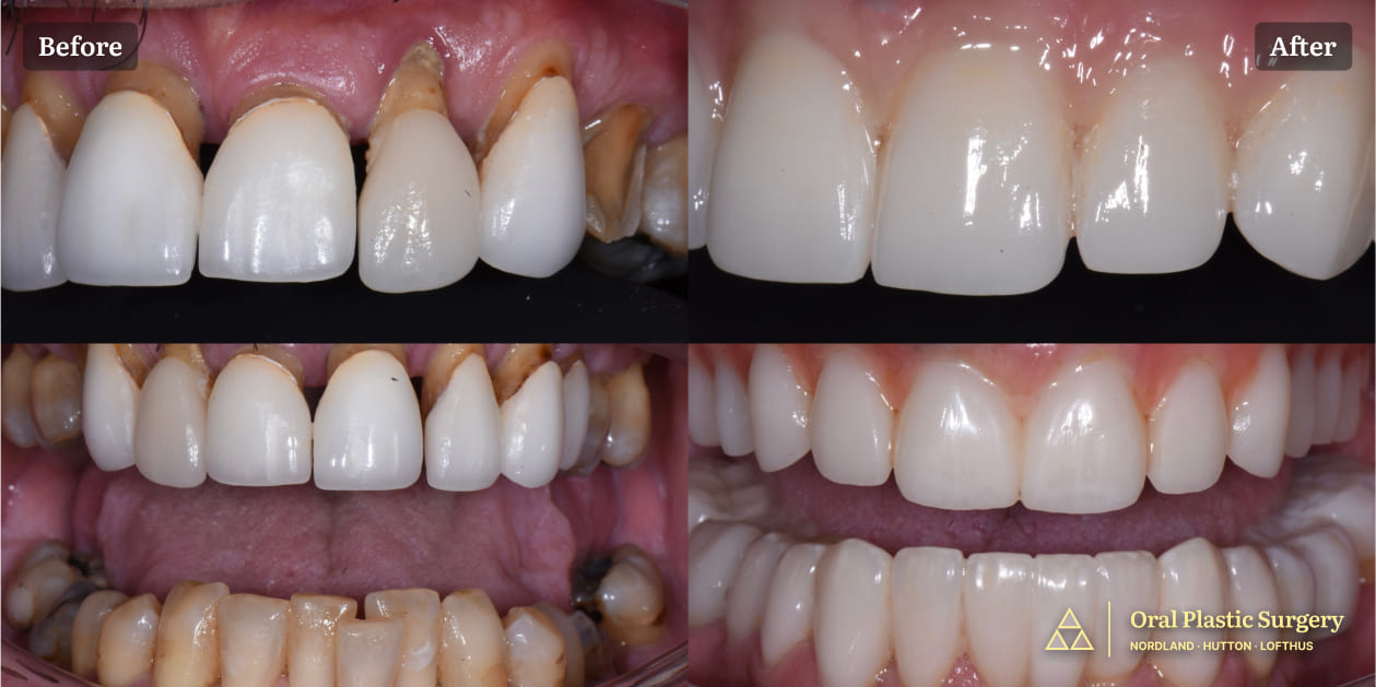
Fixing a gummy smile https://www.oralplasticsurgery.com/success-stories/fixing-a-gummy-smile/ Mon, 02 Jun 2025 10:28:52 +0000 https://www.oralplasticsurgery.com/?post_type=success-stories&p=1874 Fixing small square teeth https://www.oralplasticsurgery.com/success-stories/fixing-small-square-teeth/ Sun, 01 Jun 2025 13:39:19 +0000 https://www.oralplasticsurgery.com/?post_type=success-stories&p=1934 Fixing short square teeth https://www.oralplasticsurgery.com/success-stories/fixing-short-square-teeth/ Fri, 30 May 2025 13:40:18 +0000 https://www.oralplasticsurgery.com/?post_type=success-stories&p=1951