Confidence Begins with a Healthy, Beautiful Smile

Discover the life-changing transformations achieved through expert esthetic oral plastic surgery.

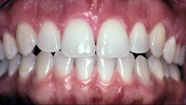
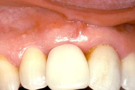
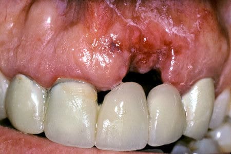
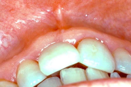
Before

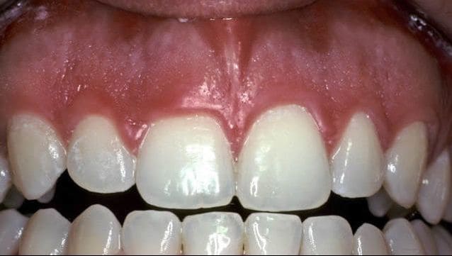
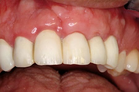
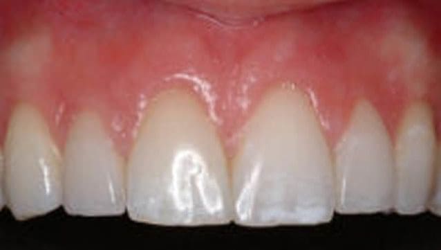
After

Patient: Hal

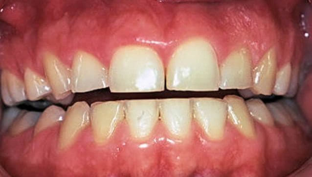
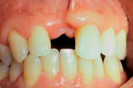
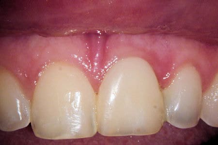
Before

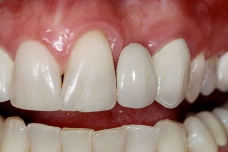
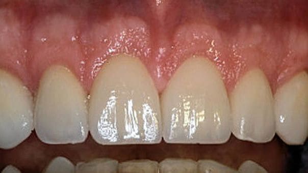
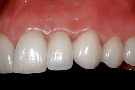
After

Patient: Krista

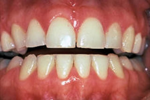
Before

After

Before

After

Patient: Robin

Before

After

Patient: Lauren

Before

After

Before

After

Before

After

Before

After

Before

After

Ready to Transform Your Smile?

Your smile is in expert hands. Whether you’re looking to enhance gum aesthetics, restore lost tissue, or explore dental implant options, our team is here to guide you every step of the way.

Take the first step toward a healthier, more confident smile. Book a Pre-Consultation Call and receive expert esthetic oral surgery care.

Copyright © 2026 Oral Plastic Surgery

We improve our products and advertising by using Microsoft Clarity to see how you use our website. By using our site, you agree that we and Microsoft can collect and use this data.

Oral Plastic Surgery Location

Oral Plastic Surgery

Limited spots. Early booking advised.

Wed

8:30 AM–5 PM