Oral Plastic Surgery

Eliminating a Gummy Smile in a Single Surgical Procedure

For most of her life, the patient felt that her smile showed too much gum tissue, creating a 'gummy smile' appearance.

Esthetic Periodontal Surgery

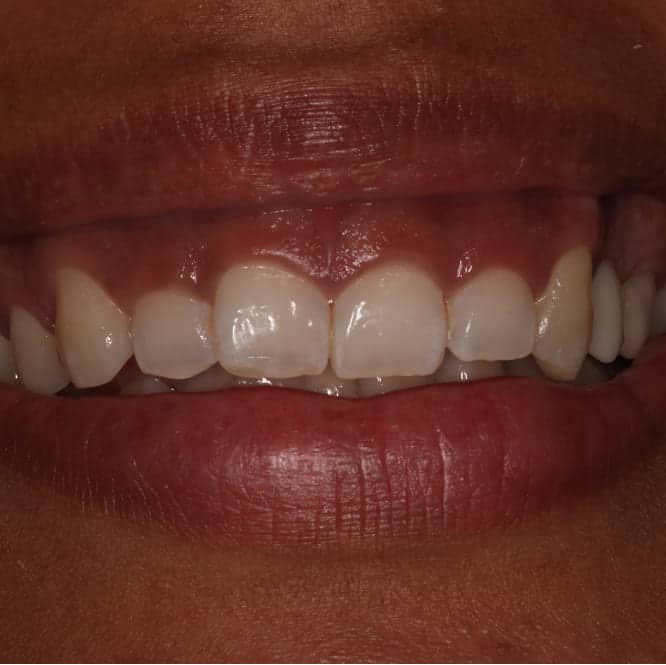
Before treatment showing excessive gingival display when smiling Before
After treatment showing balanced, proportional smile with ideal tooth-to-gum ratio After

I spent my whole life hiding my smile behind my hand. After one appointment, I finally feel like my smile matches who I am. I wish I had done this years ago.

Laura

Laura had been covering her smile with her hand since adolescence. Every time she smiled broadly, a wide band of gum tissue above her upper teeth dominated the view — the presentation commonly described as a gummy smile.

Her teeth were healthy and well-aligned, but the excess gum tissue made them look short and square. Her general dentist referred her for evaluation, and after a thorough clinical examination, she was confirmed to be an excellent candidate for a single-stage corrective procedure.

The diagnosis was altered passive eruption — a condition in which the gum tissue never fully receded to its proper position during tooth development, leaving the teeth partially buried beneath excess tissue they had already grown past.

Initial Condition & Clinical Assessment

Laura presented with approximately 4 millimeters of excess gingival display across her upper anterior teeth. Her teeth were not actually short — they were normal length beneath the overlying tissue. The crowns simply appeared truncated because so much of each tooth surface remained covered.

Clinical probing and radiographic review confirmed the altered passive eruption diagnosis. The underlying bone was also positioned higher than normal, contributing to the short clinical crown appearance and meaning that both soft tissue and bone would need to be addressed to achieve a stable result.

The symmetry of her gingival margins was slightly uneven — tissue levels on the left sat approximately one millimeter lower than the right — adding a second layer of imbalance to her smile that the procedure would also correct.

Understanding the Condition

Altered passive eruption is frequently underdiagnosed because it causes no pain and no functional problems. Many patients live with it for decades without knowing a surgical correction exists.

  • The teeth are full length beneath the tissue — the solution is uncovering that structure, not adding to it.
  • Both soft tissue removal and underlying bone recontouring are typically required to achieve results that remain stable long-term.
  • A gummy smile from altered passive eruption is a distinct condition from one caused by a short upper lip or a hyperactive lip muscle. Each has a different treatment, and the diagnosis has to come first.

Treatment Plan & Surgical Approach

Esthetic crown lengthening was recommended — a procedure that removes excess gum tissue and reshapes the underlying bone to establish the proper biologic width and ideal gingival margin positions.

Treatment targeted the six upper anterior teeth from canine to canine. Digital smile analysis was used beforehand to determine the ideal margin positions based on established proportions of tooth width to length, giving a precise surgical target for each tooth.

The full procedure would be completed in a single appointment under local anesthesia, with visible healing expected within two to three weeks.

Procedure & Healing

Precise internal bevel incisions removed the excess gingival tissue and exposed the full anatomic crowns. Osseous recontouring was then performed to reposition the bone crest and re-establish proper biologic width — the critical step that prevents the tissue from migrating back to its original position.

Each tooth was sculpted individually with attention to symmetry. The gingival margins were contoured to follow the natural scalloped architecture of an esthetically balanced smile.

Laura tolerated the procedure comfortably and reported only mild soreness in the first 48 hours. Tissue maturation was visible within the first two weeks, and by the three-week mark the soft tissue contours were well-defined and stable.

Outcome

The transformation was immediate and striking. Laura's teeth looked longer, proportional, and naturally formed — the excess gingival display that had defined her smile for her entire adult life was gone in a single appointment.

Gingival margins were symmetric across the smile zone and followed the natural esthetic contour. Laura described the result as life-changing, and her general dentist confirmed that no additional restorative work was needed — the newly exposed tooth surfaces were healthy and well-formed beneath the tissue.

For the first time she could remember, Laura smiled in photos without thinking about it.

Clinical Notes

Clinical Notes for Referring Doctors

This case illustrates the predictability of esthetic crown lengthening for altered passive eruption when both soft tissue excision and osseous recontouring are performed together.

Proper diagnosis is essential. A gummy smile can result from altered passive eruption, vertical maxillary excess, hypermobile upper lip, or a combination. Each etiology demands a different treatment approach, and misdiagnosis leads to incomplete or inappropriate correction.

  • Biologic width re-establishment through osseous recontouring is critical for preventing tissue rebound and maintaining long-term margin stability.
  • Digital smile design allowed precise preoperative planning of ideal gingival margin positions relative to the lip line.
  • Single-visit correction is predictable in altered passive eruption cases when bone sounding confirms adequate tooth structure beneath the tissue.

Ready to Take the Next Step?

If you are ready to improve your smile, protect your oral health, or explore your treatment options, our team is here to help you get started.

Take the first step toward a healthier, more confident smile. Book a Pre-Consultation Call and receive expert esthetic oral surgery care.