Oral Plastic Surgery

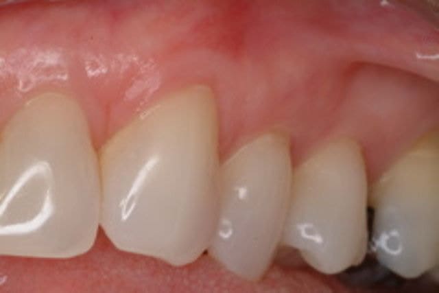
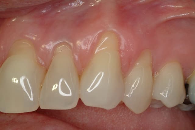
Gum procedures – grafting connective tissue, full mouth

Gum procedures – grafting connective tissue, full mouth

Gum Procedures

Before treatment Before
After treatment After

Ready to Take the Next Step?

If you are ready to improve your smile, protect your oral health, or explore your treatment options, our team is here to help you get started.

Take the first step toward a healthier, more confident smile. Book a Pre-Consultation Call and receive expert esthetic oral surgery care.