Oral Plastic Surgery

Undoing Years of Damage and Wear

Dr. Lofthus explained that significant aesthetic improvement could be achieved by first rebuilding a healthy periodontal foundation.

Cosmetic Periodontal Surgery

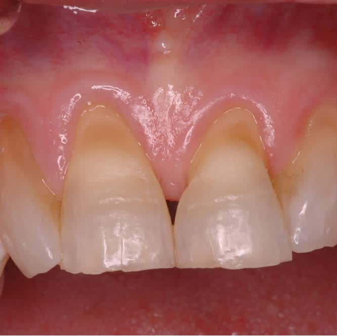
Before treatment showing worn, damaged teeth with irregular gum contours and compromised periodontal health Before
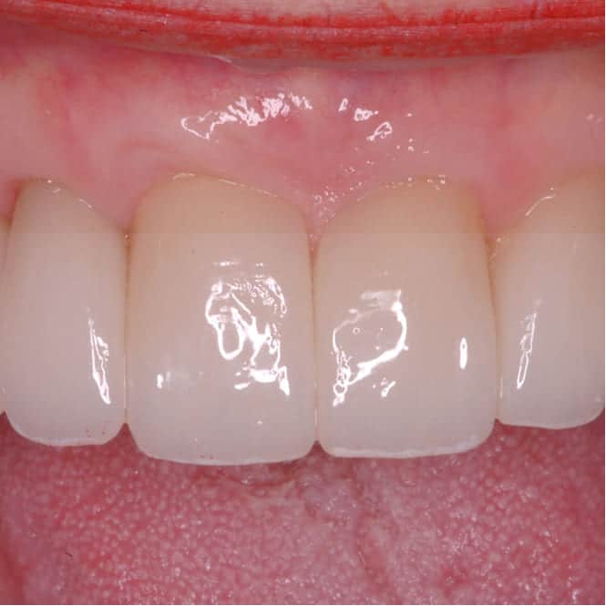
After treatment showing restored periodontal health with even gum contours and improved smile aesthetics After

I had given up on my smile years ago. I thought the damage was permanent and beyond repair. Dr. Lofthus showed me that was not the case, and the result speaks for itself.

RW

RW was 52 when he established care with a new general dentist following a move to San Diego. Years of bruxism, aggressive brushing, and inconsistent dental attention had taken a quiet but cumulative toll — teeth were worn down, gum tissue was receded in some areas and irregularly overgrown in others, and the overall periodontal foundation was compromised.

His new dentist referred him for a periodontal evaluation before pursuing any restorative work. The assessment identified a layered set of problems, each contributing to the others, that needed to be resolved in sequence before anything done on top of them would hold.

Initial Condition & Assessment

RW presented with generalized moderate periodontal disease, localized areas of significant gum recession, uneven gingival margins, and clear evidence of long-term nighttime bruxism from the wear patterns on his biting surfaces. Cervical abrasion from years of hard-bristled brushing had carved notches at the gumline on multiple teeth.

The tissue was a study in contrasts — inflamed and thin in receded areas, fibrotic and thickened in zones that had been chronically irritated. Neither presentation was healthy, and the asymmetry between them had created an aged, uneven appearance across the smile.

The primary concern RW brought to his consultation was aesthetic. He was told, plainly, that lasting aesthetic results were only achievable after the disease and tissue irregularities were addressed first.

The Compounding Effects of Neglect

RW's case was a good example of how multiple damaging factors reinforce each other when left unaddressed over time.

  • Periodontal disease had caused bone loss at several sites, deepening pockets and putting those teeth at longer-term risk.
  • Sustained bruxism had ground down the occlusal surfaces, shortening crown height and shifting bite relationships.
  • Abrasive brushing had worn away root surfaces at the gumline, accelerating recession and leaving concave defects in the cervical areas.
  • Each of these processes had run unchecked for years, allowing moderate, manageable problems to become a complex combined case.

Treatment Plan & Phased Approach

Treatment was organized into two phases. The first focused on disease control and protection — scaling and root planing to eliminate active infection, reduce pocket depths, and get the tissue to a healthy baseline. A custom nightguard was also fabricated to break the cycle of mechanical destruction from bruxism.

The second phase addressed tissue architecture. Connective tissue grafting was planned for the most severely receded areas, and gingivectomy in zones where fibrotic tissue had thickened and crowded the gingival margin. The objective was to arrive at a uniform, healthy tissue contour that would give the restorative dentist a stable foundation to work from.

Case Progression & Key Milestones

RW responded well to initial periodontal therapy. At the eight-week re-evaluation, inflammation had resolved, pocket depths had decreased substantially, and the tissue showed the firmness and color that indicate a healthy periodontium.

The soft tissue phase followed. Four teeth with the most severe recession each received connective tissue grafts harvested from the palate to add volume and achieve root coverage. Simultaneously, the fibrotic zones were contoured to match the natural scallop of the adjacent tissue.

By the four-month mark, the tissue was stable, healthy, and well-formed across the full arch. The general dentist was able to begin conservative restorative treatment on a foundation that would support those restorations for the long term.

Outcome

The change in RW's mouth was substantial. Recession defects were covered, fibrotic tissue was reshaped, and the gingival margins were even and properly contoured for the first time in years.

The restorative work that followed blended naturally with the improved soft tissue architecture, producing an aesthetic result that would not have been achievable without first addressing the periodontal foundation.

RW reported that the process changed how he thought about dental care. He committed to regular maintenance and proper home care — not because he was told to, but because he had seen firsthand what the foundation actually does for the result.

Clinical Notes

Clinical Notes for Referring Doctors

This case reinforces the principle that restorative outcomes are only as durable as the periodontal foundation beneath them. Placing veneers or crowns on teeth with active disease or compromised tissue results in short-lived results and potential failure.

The phased approach allowed each stage of treatment to heal and stabilize before the next stage began, maximizing predictability and reducing the risk of complications.

  • Active periodontal disease must be controlled before any elective or esthetic surgical intervention.
  • Addressing bruxism with an occlusal guard was essential to prevent continued mechanical destruction during and after treatment.
  • Combining subtractive and additive soft tissue procedures in a single treatment plan allowed for comprehensive contour correction across the full arch.

Ready to Take the Next Step?

If you are ready to improve your smile, protect your oral health, or explore your treatment options, our team is here to help you get started.

Take the first step toward a healthier, more confident smile. Book a Pre-Consultation Call and receive expert esthetic oral surgery care.